Những điều cần biết khi mang thai lần đầu để cả mẹ và bé cùng khỏe mạnh
Hội chứng tiền kinh
Định nghĩa hội chứng TK (HCTK):
Nang lạc nội mạc tử cung ở buồng trứng là gì?
Nội mạc tử cung (NMTC) là lớp tế bào lót trong lòng tử cung, nguồn gốc của kinh nguyệt ở người phụ nữ. Khi các tế bào này phát triển ở một vị trí khác ngoài lòng tử cung như phúc mạc, bàng quang, trực tràng, âm đạo, buồng trứng, ống dẫn trứng …
Viêm vùng chậu ở phụ nữ và những ảnh hưởng lên chức năng sinh sản
Bệnh lý viêm vùng chậu là gì?
Nhiễm liên cầu khuẩn nhóm B (GBS) ở phụ nữ mang thai
Liên cầu khuẩn nhóm B là gì?
Những điều nên biết về đái tháo đường thai kỳ
Đái tháo đường (ĐTĐ) thai kỳ là một bệnh lý thuộc về rối loạn chuyển hóa của cơ thể khiến cho nồng độ đường trong máu tăng cao trong thời kỳ mang thai.
Tại sao bác sĩ cho mẹ bầu xét nghiệm nước tiểu khi khám thai
Xét nghiệm nước tiểu gần như được thực hiện thường qui mỗi lần mẹ bầu khám thai định kỳ.
Phụ nữ có nhóm máu Rhesus âm cần lưu ý gì
Vì sao cần quan tâm đến yếu tố Rh trong nhóm máu khi mang thai?
Khám thai: các xét nghiệm thực hiện thường qui
Bài viết hữu ích với những bạn đang mang thai hoặc chuẩn bị mang thai. Dưới đây là những xét nghiệm (cận lâm sàng) cần được thực hiện thường qui cho tất cả các thai phụ đi khám.
Xét nghiệm soi tươi - Nhuộm huyết trắng
Sơ lược về huyết trắng:
Quan hệ tình dục sớm – Ung thư cổ tử cung
Nghiên cứu trên 20,000 phụ nữ cho thấy, quan hệ tình dục sớm có làm tăng gấp 2 lần nguy cơ ung thư CTC ?
Hướng dẫn mới về sử dụng vitamin D cho phụ nữ mãn kinh
Hội Mãn kinh và Mãn dục Châu Âu đã ra tuyên bố về vai trò của vitamin D sau mãn kinh và khuyến cáo liều lượng dùng hàng ngày là 600 IU/ngày, hay 800 IU/ngày đối với người từ 71 tuổi trở lên.
Những triệu chứng bệnh tim ở phụ nữ tuổi mãn kinh
Do tác dụng bảo vệ của hoóc môn nữ tính ở phụ nữ sau thời kỳ mãn kinh giảm xuống nên khả năng mắc bệnh tim sẽ tăng lên rất nhiều.
Thông tin cần thiết về són tiểu ở phụ nữ
Són tiểu là gì?
Các nhiễm khuẩn đường sinh sản và bệnh lây qua đường tình dục
Các nhiễm khuẩn đường sinh sản là gì ?
Nghén và lời khuyên của bác sĩ
NGHÉN là tình trạng rất phổ biến trong thai kỳ với các triệu chứng như: buồn nôn, nôn ói, mệt mỏi, ăn uống kém ngon miệng, giảm cân, mất nước…
Siêu âm là gì ?
Siêu âm có hại gì không ?
Vị thành niên - Ai cần quan tâm đến vấn đề này?
Thật sự tất cả chúng ta đều cần quan tâm đến đối tượng đặc biệt này, ngay cả những vấn đề khác biệt giữa giới và giới tính, cũng như ảnh hưởng của giới đối với sức khỏe con người, đặc biệt là đối với vị thành niên, những người đang có một tương lai rộng mở phía trước.
Trữ lạnh tinh trùng
Kỹ thuật trữ lạnh là kỹ thuật lưu giữ mẫu tinh trùng ở nhiệt độ rất thấp (-196oC), trong thời gian từ lúc trữ đến khi sử dụng.
Xuất tinh ngược dòng và điều trị hiếm muộn ở nam giới
Xuất tinh ngược dòng là một tình trạng xuất tinh bất thường trong đó tinh dịch không xuất ra ngoài cơ thể qua niệu đạo mà đi ngược vào bàng quang. Sau khi giao hợp hoặc thủ dâm, người bệnh đi tiểu thấy nước tiểu có lẫn những lợn cợn màu trắng đục.
Ý nghĩa và qui trình cung cấp thông tin về nuôi phôi nang
Nuôi phôi nang là một tiến bộ trong lĩnh vực hỗ trợ sinh sản ngày nay. Nuôi phôi nang có ý nghĩa phôi học lâm sàng, nhằm nâng cao chất lượng phôi chọn để chuyển vào buồng tử cung của người vợ trong những chu kỳ thụ tin trong ống nghiệm.
Thai nghén thất bại sớm: dấu hiệu lâm sàng và siêu âm mà bệnh nhân hiếm muộn cần biết
Với các thông tin của bài “Thai nghén thất bại sớm: dấu hiệu lâm sàng và siêu âm mà bệnh nhân hiếm muộn cần biết” sẽ giúp bệnh nhân hiếm muộn nhận biết thai của mình phát triển có bình thường hay không.
Ung thư cổ tử cung – Căn bệnh nguy hiểm nhưng có thể phòng ngừa?
Ung thư cổ tử cung (UTCTC) là một trong những bệnh ung thư phụ khoa thường gặp ở phụ nữ trong độ tuổi 35 trở lên.
Thai trứng xâm lấn
Thai nhi bình thường sẽ do 1 noãn bình thường kết hợp với 1 tinh trùng bình thường tạo nên. Thai trứng được tạo ra từ:
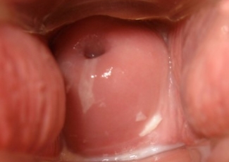
Lộ tuyến cổ tử cung: có cần điều trị?
Tử cung được chia làm hai phần: phần trên là thân tử cung, phần dưới là cổ tử cung. Cổ tử cung lại được chia làm hai phần, phần ở phía trên âm đạo và phần tiếp xúc với âm đạo. Nhìn từ phía âm đạo, cổ tử cung có đường kính khoảng 3cm.
Thai ngoài tử cung: điều cơ bản cần biết
Thai ngoài tử cung là khi trứng thụ tinh làm tổ và phát triển ở một vị trí khác ngoài nội mạc tử cung.

                
            
                
            
                
            
                
            
                
            
                
            
3418_325x230.png)

8604_325x230.png)
4803_325x230.png)



















